Я — Константин Курочкин, стоматолог-ортопед и гнатолог. Уже больше 21 года принимаю пациентов в своём кабинете в Москве. Каждый день вижу, как меняется человек, когда он перестаёт прятать улыбку. Понимаю, что сама мысль о стоматологическом вмешательстве может тревожить: вдруг будет больно, вдруг «сошлифуют ползуба», а потом уже ничего не вернуть? Эта статья — спокойный, честный разговор. Я простыми словами объясню, что такое нанониры, зачем они нужны, как именно их ставлю и кому, наоборот, лучше повременить — и где действительно проявляется нанониры отличие. Спокойно обсудим отличия нанониров от других подходов — без лозунгов, с опорой на практику.
Нанониры отличие: что это за технология и кому она подходит на деле
Иногда достаточно тончайшего штриха, чтобы улыбка «зазвучала» по-новому. Нанониры — это ультратонкие накладки на передние зубы (обычно 0,2–0,3 мм), которые я фиксирую без обточки эмали или с микроподготовкой в пределах эмалевого слоя. Вопрос «Нанониры отличие» чаще всего звучит на первой консультации: пациенты хотят понять, чем эта технология отличается от классических виниров и люминиров, и почему её называют щадящей.

Коротко: отдельной стоматологической технологии “нанониры” не существует. Это маркетинговый ярлык. Им обычно называют либо ультратонкие керамические виниры (0,2–0,3 мм) из полевошпатной керамики или литий-дисиликата (e.max), либо прямые композитные виниры из нанонаполненных композитов (делаются за одно посещение).
Мой подход
Всегда начинаю с диагностики: фото, сканы, оценка прикуса и ВНЧС — это база предсказуемого результата. Если вижу, что можно добиться гармонии без препарирования — обсуждаем нанониры. Если нет — честно объясняю, почему лучше выбрать другой путь (ортодонтию, виниры, реставрации или комбинированный план). Мне важно не «продать накладки», а вернуть вам уверенность и здоровье улыбки.
Материалы и фиксация
Чаще работаю с дисиликатом лития E.max и тончайшей фельдшпатной керамикой — материалы с природной глубиной цвета и стойкостью к пигментам. Эти материалы дают красивую прозрачность и устойчивость к окрашиванию. Фиксирую по адгезивному протоколу с силанированием — так накладка и эмаль буквально становятся одной системой. За счёт сверхтонкой толщины появляются те самые «мягкие» изменения — оттенок светлее, линии ровнее, зубы читаются естественно, без эффекта «пластика».

Начните путь к идеальной улыбке с моей консультации!
Доктор Курочкин Константин – стоматолог-ортопед с 20+ лет практики, приглашает Вас на очную консультацию с уникальной диагностикой.
Ваш персональный пакет очного приёма включает:
- 3D-диагностику прикуса + виртуальный сетап улыбки
- Консультация по установке виниров
- Составление индивидуального плана лечения
Что на самом деле скрывается за «нанонирами»
- Ультратонкие керамические виниры (no-prep/минимальный преп)
Тонкие пластины 0,2–0,5 мм, чаще e.max или полевошпатная керамика. Иногда ставятся без препарирования, но это возможно не всем (цвет/форму и прикус часто нужно корректировать). - Композитные виниры (прямые)
Выполняются врачом из нанонаполненного композита. Быстро и дешевле, но ресурс и цветоустойчивость ниже.
Lumineers — это не “нанониры”, а зарегистрированная торговая марка сверхтонких керамических виниров DenMat (Cerinate). Это частный бренд внутри класса ультратонких виниров.

Сравнение (коротко и по делу)
| Параметр | «Нанониры» (что обычно имеют в виду) | Классические керамические виниры | Lumineers (марка) | Композитные виниры |
|---|---|---|---|---|
| Материал | e.max / полевошпатная; иногда наногибридный композит | e.max / полевошпатная | Cerinate (ультратонкая керамика DenMat) | Нанонаполненный композит |
| Толщина | 0,2–0,5 мм | 0,5–0,7 мм | ~0,2–0,3 мм | Слой композита 0,3–0,8 мм |
| Препарирование | Ноль/минимум, но не всем показано | Умеренное, под маскировку формы/цвета | Позиционируется как no-prep, по факту — выборочно | Минимальное, послойное моделирование |
| Эстетика/стабильность цвета | Высокая | Очень высокая, прогнозируемая | Высокая при корректных показаниях | Средняя/выше средней, со временем может тускнеть |
| Прочность/ресурс | 10–15+ лет при адгезии по эмали | 10–15+ лет | Сопоставимо с ультратонкими | 3–7 лет (зависит от ухода и прикуса) |
| Ремонтопригодность | Ограниченная, чаще замена | Ограниченная, чаще замена | Как у керамики | Хорошая: легко полируется/ремонтируется |
| Показания | Лёгкая коррекция формы/цвета, диастемы | Более выраженная коррекция формы/цвета | Те же, при строгом отборе | Малые дефекты, быстрые разовые решения |
Важные нюансы без маркетинга
- No-prep ≠ “для всех”: при тёмном оттенке зуба, выраженной скученности или необходимости существенно менять форму препарирование всё-таки требуется.
- Прогноз зависит от адгезии к эмали: чем больше фиксация по эмали (а не по дентину), тем выше долговечность.
- Материал важнее названия: узнай точный материал (e.max, полевошпатная, гибридная керамика, композит), протокол фиксации и план препарирования.
- Планирование: фотопротокол → цифровой анализ улыбки → wax-up/mock-up (временный «примерочный» вариант) → только затем преп и фиксация.
Как правильно спрашивать в клинике
- Материал и толщина: e.max или полевошпатная? Реальная толщина под твою ситуацию?
- Будет ли препарирование и почему (на что влияют прикус, цвет, выдвижение резцов).
- Протокол планирования: mock-up обязателен.
- Фиксация: адгезивная, по эмали, с изоляцией; какой цемент.
- Ресурс и гарантия: честные сроки и условия сервисного обслуживания.
В рекламе вы можете встретить «нанониры», но как самостоятельной категории их нет. Это либо ультратонкие керамические виниры, либо композитные решения с «нано-» наполнителями. Выбор делаем по показаниям, а не по названию. Окончательно решается на очной консультации.
Можно ли называть «нанониры» люминирами?
❌ Нет, если они не являются настоящими Lumineers.
✅ Можно сказать, что и те, и другие — ультратонкие виниры без обточки, но не синонимы.
Пример аналогии:
- Люминиры — как «iPhone» (конкретный бренд).
- «Нанониры» — как «смартфон с тонким корпусом» (общее описание, может быть от любого производителя).
Нанониры: факты и цифры
Прежде чем сравнивать решения, отмечу главное: нанониры не лечат прикус и не заменяют ортодонтию. Это эстетическая процедура для ситуации, когда зубы в целом здоровы, а хочется обновить цвет, край, форму, закрыть небольшие щели.
Разница нанониры и виниры: кратко
— Толщина: ~0,2–0,3 мм против 0,5–1 мм.
— Подготовка: без обточки или в пределах эмали — против препарирования под классические виниры.
— Обратимость: нанониры можно снять, сохранив эмаль; виниры — как правило, необратимы.
— Корректировка формы: лёгкая у нанониров; более выраженная — у виниров.
Сравнение нанониров с популярными решениями
Чтобы было наглядно, собрал ключевые отличия в одну таблицу — она помогает быстро сориентироваться на консультации.

Нанониры vs классические виниры — ключевые отличия на одной странице (таблица ниже).
| Критерий | Нанониры | Классические виниры |
|---|---|---|
| Толщина | 0,2–0,3 мм | 0,5–1 мм |
| Подготовка эмали | Не требуется / микроподготовка | Препарирование обязательно |
| Обратимость | Условно обратимы (эмаль сохраняется) | Необратимо |
| Изменение формы | Небольшая до умеренной | Широкие возможности |
| Устойчивость к окрашиванию | Высокая | Высокая |
| Влияние на дикцию | Минимальное | Зависит от толщины |
| Срок службы | 10–15 лет при уходе | 12–20 лет при уходе |
| Визуальный эффект | Очень естественный, «воздух» | Естественный при грамотном планировании |
Комментарий: если вам нужно скруглить сколы, выровнять края, освежить тон и закрыть небольшие диастемы — нанониры подойдут идеально. Если задача — радикально изменить длину/ширину зубов, скорректировать выраженные скручивания — чаще выбираю виниры.
Чтобы корректно сравнить, отмечу ключевые параметры — производство, толщина, подготовка, эстетика и гибкость дизайна.
Нанониры или люминиры: честное сравнение на практике
Меня часто спрашивают, что выбрать — нанониры или люминиры. Я смотрю не на «бренд», а на стартовые условия: толщина эмали, форма и положение зубов, биотип десны, окклюзия и привычки (бруксизм, прикусывание нитей, семечек). Ниже — компактный разбор, чем отличие нанониров от люминиров проявляется в реальной работе.
Коротко о философии
-
Нанониры — полностью индивидуальные ультратонкие накладки. Могу гибко подобрать материал (E.max, фельдшпатная керамика), степень прозрачности, микротекстуру, светолинии под вашу улыбку.
-
Люминиры — брендированная линия ультратонких накладок с отработанными протоколами. Это удобно и предсказуемо, но степень кастомизации чаще ниже, чем при «штучной» работе с моим техником.
Сравнение по ключевым критериям
| Критерий | Нанониры | Люминиры |
|---|---|---|
| Подход | Полностью индивидуальный дизайн под ткани лица и десны | Фирменный протокол и линейка с оглядкой на стандарты бренда |
| Толщина | ~0,2–0,3 мм (как контактная линза) | ~0,2–0,5 мм (зависит от кейса и серии) |
| Подготовка эмали | Часто без препарирования или микроподготовка в пределах эмали | Часто позиционируются как «no-prep», но на практике нередко требуется минимальная коррекция, чтобы избежать «переконтурирования» |
| Материал | E.max/фельдшпат: можно тонко настроить прозрачность и «глубину» | Фирменные тонкие керамики бренда, эстетично, но выбор слоёв более регламентирован |
| Оптика (естественность) | Высокая вариативность: текстура, мамелоны, halo по желанию | Естественность хорошая, но вариативность зависит от линейки и навыков команды |
| Обратимость | Условно обратимы: фиксация на эмали, снятие возможно с минимальными следами | Аналогично: фиксация бережная, но снятие требует опыта, риск микрошероховатости эмали сохраняется |
| Риск «переконтурирования» | Низкий при индивидуальном планировании и мок-апе | Выше, если настаивать на «нулевой подготовке» при толстых или выдвинутых зубах |
| Влияние на дикцию | Как правило, минимальное | Минимальное, но при избыточной толщине могут быть временные эффекты |
| Срок службы* | 10–15 лет при уходе и корректной окклюзии | Сопоставимо при соблюдении протокола и гигиены |
| Ремонтопригодность | Локальная полировка/ремонт микросколов возможны | Аналогично; при крупных сколах — замена |
| * На срок больше всего влияют: гигиена, бруксизм/шина, качество фиксации и планирования. |

Когда я выбираю нанониры, а когда — люминиры
Чаще выбираю нанониры, если:
-
нужно максимально тонко «подрисовать» линию резцов, закрыть щели 0,2–0,5 мм без эффекта «пластика»;
-
важна «живая» оптика (слоистость, легкая прозрачность, микротекстура) под конкретную мимику и свет;
-
есть особенности прикуса/ВНЧС — вместе с техником точнее «вписываем» накладки в окклюзию.
Рассматриваю люминиры, если:
-
пациенту близка идея фирменного протокола и он устраивает эстетика линейки;
-
клиническая ситуация позволяет «no-prep» без риска утолщения (узкие зубы, ретрузия, тонкий край);
-
нужен быстрый и стандартизированный маршрут при простых эстетических задачах.
Микро-кейсы из кабинета
-
«Блёклый тон + щели 0,3 мм» — 6 нанониров: вручную подчеркнули светолинии и слегка выровняли края; пациентка отметила, что улыбка стала «отдохнувшей».
-
«Тонкие зубы в ретрузии, без сколов» — люминиры по фирменному протоколу: без препарирования, аккуратно добавили объём; дикция не изменилась.
Когда я предлагаю нанониры, а когда — нет
Показания
- Неравномерный цвет, флюороз, стойкая пигментация.
- Тонкие сколы, асимметричные края, небольшие щели.
- Желание освежить линию улыбки без агрессивной обработки.
- Гиперчувствительность эмали (нанониры работают как «тонкая термозащита») — в итоге пить прохладную воду комфортнее.
Противопоказания/ограничения
- Активный бруксизм без шины.
- Выраженные нарушения прикуса, «глубокие» скручивания — тут лучше ортодонтия.
- Большие пломбы/разрушения по фронту — может потребоваться иной план.
| Ситуация | Что предложу |
|---|---|
| Небольшие щели и сколы | Нанониры |
| Темный оттенок на здоровых зубах | Нанониры или отбеливание + нанониры |
| Сильная скученность | Ортодонтия → далее виниры/нанониры |
| Большие сколы/пломбы | Виниры/коронки |
Частый вопрос: чем нанониры отличаются от «тонких виниров» (тонкие виниры отличия)? По сути это одна философия минимального вмешательства, но различаются толщина, материал и протокол фиксации. По сути это та же философия минимального вмешательства — вопрос в толщине, материале, протоколе фиксации и индивидуальном дизайне.
Как проходит лечение: от первой встречи до улыбки на фото
Этап 1. Встреча и план (1 визит) — диагностика при выборе нанониров
Я слушаю ваши пожелания, изучаю состояние зубов, десен, сустава. Делаем сканы, фото, иногда КТ. Важный момент — оценка окклюзии и работы ВНЧС, чтобы тонкие накладки не попали в «зону конфликта» при смыкании. Я опираюсь на цифровую диагностику и моделирование, чтобы заранее видеть ожидаемый результат (это про предсказуемость и безопасность лечения).
Этап 2. Примерка образа (2 визит)
Делаем цифровой мок-ап/восковое моделирование, иногда печатаем временный «превью-вариант». Вы смотрите в зеркало, мы вместе уточняем длину, контур, линии света. Здесь рождается ваша улыбка: вы участник процесса, а не зритель.
Этап 3. Изготовление
Техник готовит сверхтонкие накладки. Для ультратонких работ люблю сочетание CAD/CAM и ручной стратификации — так свет проходит через керамику «по-живому».
Этап 4. Фиксация
Примеряем с гелями-триалами, смотрим, как «садится» тон и контур. Изолирую поле, провожу адгезивный протокол и фиксирую на светоотверждаемый цемент. Уход — и вы уходите уже с новой улыбкой.
Частые страхи и мои ответы
«Будет больно?»
Я слышу этот вопрос очень часто. Фиксация нанониров проходит без травмы для эмали, поэтому болевого фактора обычно нет. При повышенной чувствительности используем поверхностную анестезию. Я рядом и объясняю каждый шаг — это снижает тревожность.
«Зубы станут как у куклы?»
Нет. «Нанониры отличие» — в естественности. Мы не переламываем форму, а мягко корректируем. Линии остаются живыми, как будто вы выспались и улыбка «отдохнула».
«А если я передумаю?»
Адгезия обратимая: при необходимости нанониры снимаются почти без следа на эмали. Это психологически поддерживает, особенно тех, кто сомневается.
Истории из практики
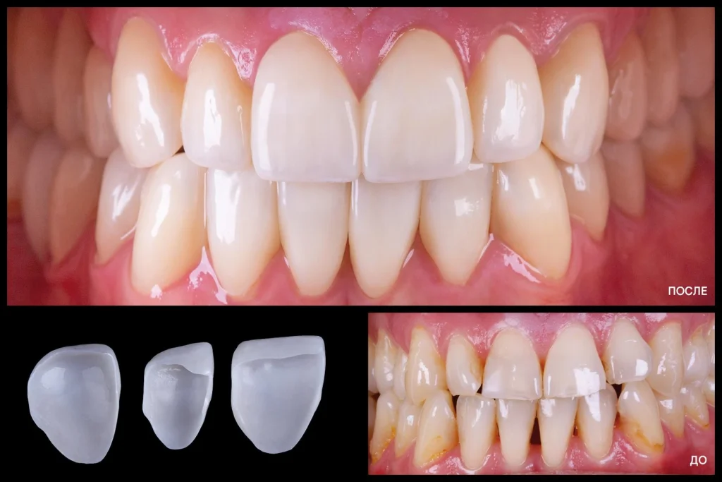
Случай 1. «Серый фронт после флюороза»
Ко мне пришла пациентка 29 лет: ровные зубы, но «серый» фон и пятна. Обсудили отбеливание — дал возможный эффект 20–30%, но не снял бы пятнистость. Предложил 6 нанониров по фронту. Сделали мок-ап — она улыбнулась и сказала: «Как будто я помолодела». Зафиксировали. Через месяц на контрольном осмотре призналась: «Я начала чаще фотографироваться, перестала стискивать губы».
Случай 2. «Скол на «единице», неровный край»
Мужчина 41 год, публичная работа. Хотел ровную линию, но без «глянца». Сделали два нанонира на центральные резцы, подстроили микротекстуру. Коллегам он сказал: «Отпуск пошёл на пользу» — никто не догадался о стоматологии.
Случай 3. «Небольшие щели и чувствительность»
Пациентка 36 лет, диастемы 0,3–0,5 мм, повышенная чувствительность на холодное. Нанониры закрыли щели и «запечатали» эмаль. Она отметила: «Пить прохладную воду стало комфортно».
Отзывы моих пациентов
«Честно, боялась идти… Представляла бормашину и лёд в животе. Думала, что будет больно, но Константин всё объяснял, показывал на планшете. Примерка будущей улыбки — вообще волшебство. Я реально почувствовала, как тревога ушла. И да, как будто зубы — свои: естественные, без «пластика». Спасибо за спокойствие и уверенность…»
— Марина, 42 года
«Решил закрыть щель между передними зубами и выровнять края. Хотелось без «переточки». На консультации обсудили риски, пороги прочности, протокол фиксации. Сделали два нанонира, по срокам уложились, говорю и жую как обычно. В целом — задача решена аккуратно и предсказуемо».
— Андрей, 38 лет
«Я из тех, кто «гуглит» всё подряд и сомневается. Нравилось, как у блогеров блестят зубы, но пугала необратимость. Тут меня подкупило, что эмаль сохраняется. На примерке мы буквально играли миллиметрами. Сейчас открыто улыбаюсь на фото — даже забыла, что у меня накладки!»
— Ольга, 31 год
От того, как мы ухаживаем за накладками, напрямую зависит срок службы — правила простые.
Уход и долговечность

- Дважды в день щётка (мягкая) + паста без абразивов.
- Нить или ирригатор — чистые промежутки = чистые края накладок.
- Без привычки «грызть»: орехи, семечки, крышки — мимо.
- Профессиональная гигиена каждые 6 месяцев — важна для стабильной линии приклеивания.
- При бруксизме — ночная шина (это продлевает жизнь любой реставрации).
При таком уходе реальный срок службы — 10–15 лет. А иногда и дольше.
Сколько это стоит и как планируем бюджет
Я за прозрачность. Оценка зависит от количества зубов, материала, нюансов прикуса и улыбки. Чтобы не гадать, мы начинаем с диагностики и примерки результата — вы видите, за что платите.
Ориентиры:
- Эстетический диагностический комплекс (симметрия лица и зубов) — 30 000 ₽ (детальная эстетическая диагностика с 3D-анализом).
- Винир керамический E.max — от 50 000 ₽ за зуб (индивидуализация, 3D-моделирование).
- Ультратонкий винир Super Slim — 100 000 ₽ за зуб (высокохудожественная ультратонкая работа).
Частые вопросы (FAQ)
Всегда ли люминиры ставятся без препарирования?
Не всегда. Чтобы не получить «толстый» край у десны, иногда нужна микроподготовка в пределах эмали — 0,1–0,2 мм. Это щадяще и повышает эстетику.
Нанониры vs виниры — что выбрать?
Ответ в задачах. Если нужны мягкие штрихи без препарирования — нанониры. Если надо основательно менять форму — классические виниры.
Можно ли исправить прикус нанонирами?
Нет. Это эстетическая коррекция. Для прикуса — ортодонтия/гнатология, а уже после — накладки/виниры.
Сколько времени займёт лечение?
В среднем 2–3 визита: диагностика, примерка, фиксация.
Что с окрашиванием от кофе/вина?
Керамика устойчива. Главное — гигиена и профилактика, тогда блеск и тон стабилен.
Как понять отличия нанониров от других решений?
Прийти на консультацию, примерить будущую улыбку, обсудить ограничения. Это лучший способ снять тревогу и принять осознанное решение.
Итоги: чем нанониры отличаются на практике
И нанониры, и люминиры — инструменты одной минимально-инвазивной философии. Разница в степени кастомизации и границах фирменного протокола. Я всегда начинаю с диагностики и мок-апа: вы заранее видите будущую улыбку, мы проверяем окклюзию и принимаем решение, которое будет красиво смотреться и спокойно «житься» долгие годы.