Здравствуйте, дорогие пациенты! Меня зовут Курочкин Константин Андреевич, и я являюсь главным врачом-ортопедом высшей категории, гнатологом. Реставрация зубов — это то, что может полностью изменить вашу жизнь, вернув уверенность в улыбке и комфорте во время еды. Как помощник профессора ОмГМА, работавший в федеральном центре травматологии, где мне довелось проводить сложные операции для ветеранов, я хорошо понимаю важность стоматологической реставрации и зубной эстетики для общего самочувствия пациента.
Многие из вас, вероятно, сталкивались с проблемами, связанными с состоянием зубов, когда необходима не только ортопедическая стоматология, но и внимание к гнатологии, чтобы обеспечить идеальное функционирование и эстетику. Стоматологическая реставрация в этом контексте становится ключевым решением, позволяющим вернуть не только функциональность, но и эстетику зубов, делая их прочными и красивыми. Благодаря современным технологиям — цифровому моделированию и ИИ — мы создаём индивидуальные протезы, которые решают задачи художественной реставрации и обеспечивают естественный результат. Рассматривая каждый случай индивидуально, мы можем добиться удивительных результатов, ведь правильно проведённая художественная реставрация сочетает эстетику и функциональность.
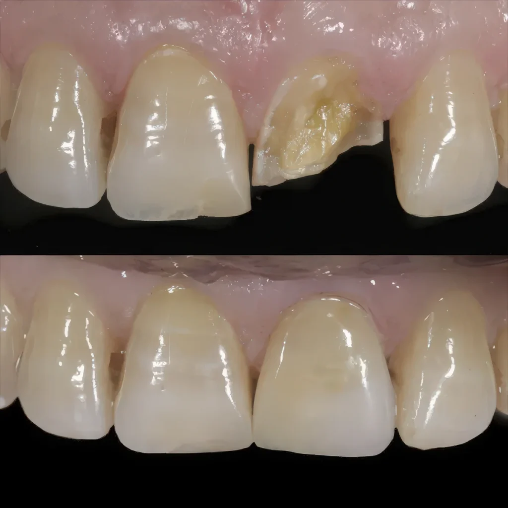
Художественная реставрация зубов
Как специалист с 21+ лет опыта, я могу сказать, что реставрация зубов является одним из наиболее важных аспектов стоматологии. В моей практике я часто встречаюсь с пациентами, которые хотят не только восстановить функциональность своих зубов, но и улучшить их эстетический вид.
Зубная эстетика
Зубная эстетика играет значительную роль в реставрации зубов. Как врач-ортопед, я должен учитывать не только функциональность зубов, но и их внешний вид. Для этого я использую различные материалы и техники, чтобы создать зубы, которые выглядят естественно и красиво.
- Выбор цвета и формы зубов
- Использование керамических или композитных материалов
- Создание индивидуальных дизайнов для каждого пациента
Гнатология
Гнатология — это область стоматологии, которая занимается изучением функций и расстройств жевательного аппарата. Как гнатолог, я должен учитывать не только эстетический вид зубов, но и их функциональность и взаимосвязь с другими частями жевательного аппарата.
| Функция | Расстройство |
|---|---|
| Жевание | Бруксизм |
| Глотание | Дисфагия |

Начните путь к идеальной улыбке с моей консультации!
Доктор Курочкин Константин – стоматолог-ортопед с 20+ лет практики, приглашает Вас на очную консультацию с уникальной диагностикой.
Ваш персональный пакет очного приёма включает:
- 3D-диагностику прикуса + виртуальный сетап улыбки
- Консультация по установке виниров
- Составление индивидуального плана лечения
Стоматологическая реставрация
Мой опыт показывает: правильно выполненная дентальная реставрация позволяет восстановить здоровье зубов и продлить срок службы на десятилетия, что особенно важно для долгосрочного результата. В моей практике я часто встречаюсь с пациентами, которые хотят улучшить внешний вид своих зубов и восстановить их природную функцию.
Зубные протезы
Зубные протезы являются одним из наиболее распространенных методов реставрации зубов. Они могут быть использованы для замены одного или нескольких зубов, а также для восстановления целых рядов зубов. Как врач-ортопед, я могу сказать, что протезы могут быть изготовлены из различных материалов, включая металл, керамику и композит.
- Металлические протезы
- Керамические протезы
- Композитные протезы
Дентальная реставрация
Дентальная реставрация включает в себя различные методы восстановления зубов, такие как пломбирование, инлей и онлей вкладки, а также виниры. Как гнатолог, я могу сказать, что эти методы могут быть использованы для восстановления зубов, поврежденных кариесом, травмой или другими факторами.
| Метод | Описание |
|---|---|
| Пломбирование | Восстановление зуба с помощью пломбы |
| Виниры и вкладки | Восстановление зуба с помощью микропротеза |
Дентальная реставрация — один из самых эффективных способов вернуть эстетику и полноценную жевательную функцию. В моей практике этот метод занимает особое место, так как сочетает медицину и эстетику в едином решении.

Мифы о реставрации зубов
Как специалист с 21+ лет опыта, я часто встречаюсь с заблуждениями о реставрации зубов. В моей практике я заметил, что многие пациенты боятся этой процедуры из-за распространенных мифов.
Одним из распространенных мифов является то, что реставрация зубов — это болезненная процедура. Однако, как врач-ортопед, я могу заверить вас, что современные методы анестезии делают эту процедуру практически безболезненной.
Вот некоторые распространенные мифы о реставрации зубов:
- Реставрация зубов — это только для эстетики
- Реставрация зубов — это долгая и дорогая процедура
- Реставрация зубов — это не надежная процедура
Как гнатолог, я могу сказать, что реставрация зубов — это не только для эстетики, но и для восстановления функциональности зубов. Это важная процедура для поддержания здоровья полости рта.
Стоматологическая реставрация — это не просто эстетика, а полноценная часть комплексного лечения, напрямую влияющая на качество жизни пациента.
Важно
Не верьте мифам о реставрации зубов. Обратитесь к специалисту, чтобы получить точную информацию и решить любые проблемы с вашими зубами.
Нередко пациенты спрашивают меня, чем отличается художественная реставрация от дентальной. Я объясняю: первая направлена на эстетику — цвет, форму, гармонию улыбки, вторая же охватывает полный комплекс процедур для восстановления структуры и функции зубов. Таким образом, выбирая методику, мы учитываем не только желания пациента, но и медицинские показания. Особенно важно отметить, что современные материалы — керамика E.MAX и композиты нового поколения — позволяют сочетать прочность и естественную красоту.

Ошибки пациентов при реставрации
Как специалист, я могу сказать, что реставрация зубов — это процесс, требующий внимания к деталям. В моей практике я часто встречаюсь с ошибками, которые пациенты допускают при этом процессе.
Недостаточная гигиена
Одной из наиболее распространенных ошибок является недостаточная гигиена полости рта. Это может привести к осложнениям и снижению качества реставрации.
- Недостаточная чистка зубов
- Неправильное использование зубной нити
- Недостаточная посещаемость стоматолога

Неправильный выбор протезов
Неправильный выбор протезов также может привести к осложнениям. Как врач-ортопед, я рекомендую пациентам выбирать протезы, соответствующие их индивидуальным потребностям.
| Тип протеза | Преимущества |
|---|---|
| Металлокерамические | Высокая прочность и эстетика |
| Цельнокерамические | Высокая эстетика и биосовместимость |
Часто пациенты спрашивают, какой метод реставрации выбрать. На практике всё зависит от клинической ситуации: если задача — вернуть красоту улыбке, применяется художественная реставрация (виниры, композиты). Когда же речь идёт о полном восстановлении жевательной функции, я рекомендую стоматологическую реставрацию с применением коронок и протезов. В ряде случаев обе методики комбинируются, что обеспечивает комплексный результат.

Нередко пациенты интересуются, как долго служит дентальная реставрация. В среднем, срок службы качественно выполненной работы составляет 10–15 лет, а при правильном уходе — и дольше. Всё зависит от используемых материалов и соблюдения пациентом правил гигиены. Например, керамические виниры служат до 15 лет, а композитные реставрации — около 7–10 лет. Таким образом, грамотный уход позволяет сохранить результат на долгие годы.
Отзывы о художественной реставрации
Как специалист с 21+ лет опыта, могу сказать, что реставрация в стоматологии — один из самых надёжных способов вернуть эстетику и полноценную жевательную функцию.
Удовлетворенные пациенты
Многие пациенты, выбравшие стоматологическую реставрацию, отмечают не только красивый внешний вид зубов, но и комфорт в повседневной жизни.
- Дентальная реставрация может выполняться с использованием различных материалов — от керамики до современных композитов. Каждый вариант имеет свои преимущества, которые подбираются индивидуально.
- Каждый материал имеет свои преимущества и недостатки, и выбор материала зависит от индивидуальных потребностей пациента.
Рекомендации
Как врач-ортопед, я рекомендую пациентам, которые хотят провести реставрацию зубов, тщательно выбрать клинику и врача.
По мнению Жиленко Евгения Александровича, Хирурга-имплантолога, пародонтолога: «Реставрация зубов должна быть проведена с учетом индивидуальных потребностей пациента и с использованием высококачественных материалов».
| Материал | Преимущества | Недостатки |
|---|---|---|
| Керамика | Высокая эстетика, прочность | Более высокая стоимость |
| Композит | Низкая стоимость, простота применения | Менее прочный, чем керамика |

Ортопедическая стоматология и реставрация
Как специалист в области ортопедической стоматологии, я могу сказать, что реставрация зубов является важным этапом в восстановлении их функциональности и эстетики. В моей практике я часто использую различные методы реставрации, включая зубные коронки и виниры.
Зубные коронки
Зубные коронки являются одним из наиболее распространённых методов восстановления зубов и занимают важное место в ортопедической стоматологии. Они представляют собой искусственные покрытия, которые устанавливаются на поврежденный зуб для восстановления его формы и функциональности.
- Металлокерамические коронки
- Керамические коронки
- Металлические коронки

Виниры
Виниры являются тонкими пластинками, которые устанавливаются на переднюю поверхность зуба для восстановления его эстетики. Они могут быть использованы для исправления различных дефектов, таких как сколы, трещины или неравномерный цвет зубов.
| Тип виниров | Материал |
|---|---|
| Керамические виниры | Керамика |
| Композитные виниры | Композитный материал |
«Я был очень доволен результатом реставрации зубов с помощью виниров. Теперь мои зубы выглядят идеально!» — говорит один из моих пациентов, Сергей.

Гнатология в реставрации зубов
Как специалист с 21+ лет опыта, я могу сказать, что гнатология играет ключевую роль в реставрации зубов. Она позволяет создать идеальную эстетику и прочность зубов.
Функциональная эстетика
При реставрации зубов важно учитывать не только внешний вид, но и функциональность. Как врач-ортопед, я всегда стараюсь найти баланс между эстетикой и функциональностью.
- Исправление прикуса
- Реставрация зубов с учетом окклюзии
- Создание индивидуальных протезов

Стоматологическая реабилитация
Современная стоматологическая реставрация — это не только улучшение внешнего вида, но и полноценное восстановление функции зубов. Как гнатолог, я всегда стараюсь создать условия для идеальной реставрации зубов.
| Услуга | Описание |
|---|---|
| Реставрация зубов | Восстановление зубов с учетом эстетики и функциональности |
| Протезирование | Создание индивидуальных протезов для каждого пациента |
«Гнатология — это основа реставрации зубов. Без нее невозможно создать идеальную эстетику и функциональность», — говорит Курочкин Константин Андреевич, главный врач-ортопед высшей категории, гнатолог.
Технологии в стоматологической реставрации
Современная дентальная реставрация невозможна без цифровых технологий — 3D-моделирования, CAD/CAM, печати мок-апов. Именно они позволяют врачу учесть и эстетику, и гнатологию. В моей практике я использую различные методы для достижения идеальной эстетики и прочности зубов.
Цифровая реставрация
Цифровая дентальная реставрация — один из наиболее прогрессивных методов, который позволяет создавать точные и индивидуальные модели зубов. Этот метод позволяет создавать точные и индивидуальные модели зубов, что обеспечивает высокую точность и качество реставрации.
- Высокая точность и качество реставрации
- Возможность создавать индивидуальные модели зубов
- Сокращение времени реставрации
3D-печать
3D-печать — это еще один современный метод, который используется в стоматологической реставрации. Этот метод позволяет создавать точные и сложные модели зубов, что обеспечивает высокую эстетику и функциональность.
| Преимущества 3D-печати | Описание |
|---|---|
| Высокая точность | Возможность создавать точные и сложные модели зубов |
| Сокращение времени реставрации | Возможность создавать модели зубов быстро и точно |
«Цифровая реставрация и 3D-печать — это будущее стоматологии», — говорит Курочкин Константин Андреевич, главный врач-ортопед высшей категории, гнатолог.

Перспективы развития реставрации зубов напрямую связаны с цифровизацией стоматологии. Всё больше клиник переходят на использование CAD/CAM-систем, сканеров и 3D-принтеров. Эти технологии значительно сокращают сроки лечения и повышают точность результатов. Таким образом, цифровая стоматология становится стандартом в современной реставрации.
Заключение
Если вы хотите восстановить эстетику и функциональность улыбки, приглашаю вас на очную консультацию. Здесь мы подробно обсудим все варианты и подберём лучший метод стоматологической реставрации, подходящий именно вам.