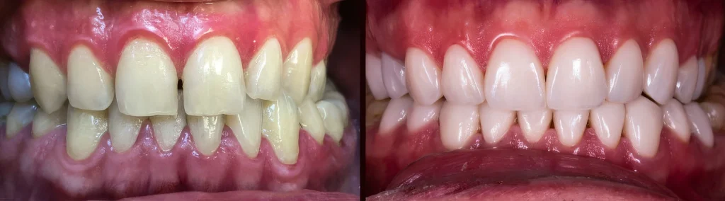
Я — Константин Курочкин, стоматолог-ортопед и гнатолог с опытом более 21 года. В моём московском кабинете я помогаю пациентам не просто восстановить зубы, а вернуть уверенность — через точное планирование, цифровые технологии и бережный подход.
Я хорошо понимаю, что виниры в путешествии — это не только эстетика, но и источник лёгкой тревоги: «А если сколется? Потемнеет от кофе? Где искать врача в другой стране?»
Такие вопросы я слышу постоянно — ведь современная жизнь редко бывает оседлой: перелёты, командировки, смена климата и ресторанная еда проверяют не только нас, но и материалы наших реставраций.
В этом тексте я собрал свой личный практический опыт — как сохранить идеальную улыбку в дороге, на что обратить внимание перед поездкой и какие материалы для виниров и коронок я чаще всего рекомендую активным, мобильным пациентам.
Виниры в путешествии: как они «живут» вне привычного режима
Правда в том, что путешествие — это всегда перемены: перелёты, смена климата, другая вода, перекусы на бегу. Если у вас виниры в путешествии, на них влияет не только еда и напитки, но и механическая нагрузка (мы часто жуем «на скорую руку»), а ещё — режим чистки, который в дороге нередко сбивается. Я понимаю, что мысль о сколе или потемнении может тревожить; это не приятно, а ещё и планы рушит. Поэтому начнём с базового: что такое винир и почему он «любит» внимательный уход.
Материалы для виниров: почему одни дольше «держат цвет» в дороге
Я работаю с керамикой (E.max, цирконий) и композитами. Современная керамика устойчива к пигментам, а блеск при моих протоколах ухода держится годами, а край прилегания при правильной гигиене «не выдаёт» себя. Цирконий прочен и подходит тем, кто боится сколов; пресc-керамика — чемпионы природного стеклянного блеска. Композиты удобны для быстрых реставраций, но к красящим продуктам чувствительнее.
Важно: виниры в отпуске — не про запреты, а про простую стратегию, которая экономит нервы и время.
Начните путь к идеальной улыбке с моей консультации!
Доктор Курочкин Константин – стоматолог-ортопед с 20+ лет практики, приглашает Вас на очную консультацию с уникальной диагностикой.
Ваш персональный пакет очного приёма включает:
- 3D-диагностику прикуса + виртуальный сетап улыбки
- Консультация по установке виниров
- Составление индивидуального плана лечения
Почему подготовка важна перед поездкой с винирами и коронками
Когда вы далеко от дома, нет вашей привычной щётки «в стаканчике», любимой пасты и моего номера в быстром наборе. Плюс перелёты, обезвоживание, местная кухня, иногда — плотный рабочий график. Всё это слегка «проверяет на прочность» и образ жизни, и ваши реставрации. Хорошая новость: с простым планом «виниры в путешествии» чувствуют себя спокойно, а вы — уверенно.

Мой дорожный чек-лист: уход за винирами в поездке (из моей практики)
- Мягкая щётка (или компактная электрическая с щадящим режимом).
- Паста с низкой абразивностью (RDA ≤ 70).
- Зубная нить + межзубные ёршики двух типоразмеров.
- Портативный ирригатор — берите, если уверенно управляете струёй: в дороге важна бережность, а не напор.
- Маленький флакон ополаскивателя без спирта.
- Набор «быстрого реагирования»: воск для ортопедических конструкций, одноразовые силиконовые каппы, обезболивающий гель для десны, стерильные салфетки.
- Контакты моей клиники и ближайшей (по геолокации отеля) стоматологии на случай форс-мажора.

набор для путешествий
В моём кабинете часто вижу, как один-два простых шага снимают тревогу полностью. Я собираю пациентам компактный набор и обучаю «мини-чисткам» на ходу — это 90 секунд после красного вина или карри. Такой «уход за винирами» работает как ремень безопасности: не мешает, но очень помогает, когда это нужно.
Чтобы чек-лист работал безупречно, важно не только чем чистить, но и как ложится нагрузка. Если один зуб «перетягивает одеяло», не спасёт даже идеальная паста. Поэтому перед вылетом я прохожу по контактам, кромкам, траекториям — это гнатология в действии, благодаря которой «виниры и перелёты» проходят без сюрпризов.
Когда прийти на осмотр до отпуска
Идеально — прийти за 10–14 дней до вылета: проверю кромки, окклюзию и дам персональный план «виниры и перелёты». Я проверю кромки, контактные пункты, окклюзию, сниму налёт у гигиениста, дам индивидуальные рекомендации. Если намечался «микро-скол» или появляется избыточная нагрузка на один зуб — лучше увидеть это дома, а не в аэропорту Дели.
В моём кабинете часто бывают пациенты, которым поездка «сорвала» режим. Мы за 20–30 минут приводим всё в порядок, настраиваем прикус, шлифуем микрориски — и человек летит спокойно.
Какие материалы для виниров и коронок надёжнее в дороге и перелётах
Когда вы активны, много едите вне дома и часто пьёте кофе «на бегу», важно, чтобы материалы для виниров и коронок прощали небольшие бытовые ошибки и не капризничали к перепадам температуры.
Сравнение популярных систем (коротко и по делу)
| Материал | Эстетика | Устойчивость к пигментам | Хрупкость/удары | Ремонтопригодность в дороге | Кому подойдёт |
|---|---|---|---|---|---|
| керамика E.max (литий-дисиликат) | Очень высокая, «стеклянная» глубина | Хорошая | Средняя (любит аккуратность) | Срочный полишинг допустим, полноценный ремонт — в клинике | Тем, кто внимателен к уходу и любит «глянец» |
| диоксид циркония (циркониевые каркасы) | Высокая (особенно многослойные диски) | Отличная | Высокая прочность | Мелкие сколы встречаются редко, исправимы | Активным путешественникам, кто любит орехи и треккинг |
| керамокомпозит | Хорошая | Средняя | Более «мягкий» | Поддаётся локальному ремонту «на месте» | Тем, кто хочет ремонтопригодность и мягкость прикуса |
| композитные виниры | Достаточно эстетично | Средняя | Мягкие, амортизируют | Можно «подлатать» в любой клинике | Как временное или эконом-решение |
| фарфоровые накладки | Классический благородный блеск | Хорошая | Средняя | Требует аккуратности | Любителям «классики» |
Коротко: при активных перелётах цирконий прощает больше бытовых ошибок, E.max — для любителей «стеклянного» блеска при дисциплине. Если горите от идеи «супергладкого стеклянного блеска», керамика E.max (тот же литий-дисиликат) выглядит бомбически, но требует чуть больше дисциплины. А керамокомпозит — «золотая середина» по ремонтопригодности. И да, мы всегда подбираем материалы для виниров и коронок под вашу жизнь, а не наоборот: слабое звено в уходе лучше учитывать заранее.

Чистите зубы дважды в день и после каждого приема пищи, если возможно.
Частые вопросы — коротко и по делу
Потемнеют ли виниры от кофе в отпуске?
Керамика стойкая, но налёт окрашивается. Пейте воду «вдогонку» и пользуйтесь ополаскивателем. Возвращайтесь — сделаем профгигиену, и блеск вернётся.
Можно ли есть орехи и сухари?
Можно — но не «щипцами»: делите на кусочки и жуйте плоскостью, берегите режущие края. Делим на части, жуём «плоскостью», не крайним резцом. В перелётах оставьте орехи до отеля.
Что брать, если летим налегке?
Щётка, паста без абразива, нить, 2–3 ёршика, мини-ополаскиватель. Всё — и виниры вдали от дома будут вести себя как «дома».
Кейс-разбор: E.max vs цирконий — кому что заходит в поездках
Кейс 1. «Офис-джетлаг» и E.max
Мужчина 37 лет, частые перелёты Москва—Сингапур—Шанхай, важна «глянцевая» эстетика на встречах. Выбрали керамику E.max в зоне улыбки, отточили окклюзию, обучил «кофейному ритуалу». За 18 месяцев — ни одной коррекции, фотоотчёты — словно из студии. Секрет — дисциплина и мягкая щётка в ручной клади.
Кейс 2. «Горы и орехи» и цирконий
Женщина 58 лет, трекинг в Доломитах, любит орешки и твердую вяленую колбасу. Поставили коронки из диоксида циркония с многослойным диском — прочность плюс эстетика. Ситуационных рисков меньше: даже если нарушит рекомендацию, материал «прощает». На контрольном осмотре — лишь лёгкий полишинг.
Кейс 3. Компромисс и керамокомпозит
Пациент 32 года, стартап-тур по Европе, бюджет ограничен, ритм — «кофе, презентация, бургер». Выбрали керамокомпозит на два резца как временный «мостик» к будущей керамике. Через год вернулся — рассказал, что пару раз «подлатал» скол в клинике по месту. Это и есть плюс керамокомпозита: ремонтопригодность в дороге.
В ежедневной практике я часто комбинирую материалы: цирконий на жевательных участках, E.max — в зоне улыбки. Такой подход позволяет вписать эстетику в реальный ритм жизни. Если бюджет ограничен, начинаем с ключевых зубов, а остальное планируем по этапам — «виниры в поездке» при этом ведут себя предсказуемо.
Еда, перелёты, вода: как беречь облицовки, не отказывая себе в путешествии
Я понимаю, как хочется в путешествии «не думать о зубах». Поэтому даю простой ориентир: если у вас циркониевые коронки (это материалы для коронок, рассчитанные на нагрузку), смело режьте твёрдое ножом и не колите зубами лёд — и всё будет хорошо. С винирами снимайте «стресс-нагрузку» с режущих краёв: яблоко лучше разрезать, орехи — не раскусывать. Это не запреты, а привычки, которые сохраняют блеск и геометрию.
Перелёты и сухой воздух
Самолёт обезвоживает — слюна густеет, налёт липнет быстрее. Берите маленькую бутылочку воды, разжёвывайте жевательную резинку без сахара после взлёта и посадки, если нет противопоказаний к суставу. В пути — мягкая щётка + полоскание. Если пьёте кофе — пару глотков воды после, и всё.
Уличная еда и риски
Жареные орешки, лёд в напитках, карамель — частые «виновники» микро-сколов. Не превращайте отпуск в «экзамен на прочность»: твёрдое — режьте, лёд — оставляйте в стакане. Очень острые специи иногда провоцируют отёк десны — держите под рукой ополаскиватель и охлаждающий гель.
Кислые напитки и вино

Кислота размягчает налёт — пигменты цепляются быстрее; соломинка и вода после бокала помогут. Простой лайфхак: соломинка + вода после бокала. Приучите себя «смывать» пигменты — ваша эстетика скажет спасибо.
Таблица: продукты и напитки — насколько сильно они «красят»
| Продукт/напиток | Красящий потенциал | Нейтрализация «здесь и сейчас» |
|---|---|---|
| Кофе, чай чёрный | Высокий | Вода после, мини-чистка |
| Красное вино | Высокий | Вода, соломинка при возможности |
| Яркие соусы (соевый, карри) | Средний/высокий | Вода, ополаскиватель |
| Ягоды (черника, вишня) | Средний | Вода, не «тереть» зубы сразу |
| Газировка кислая | Средний | Вода, чистить через 20–30 минут |
| Белое вино | Низкий/средний (из-за кислотности) | Вода, пауза перед чисткой |
Почему пауза? Кислота временно размягчает поверхностный слой налёта; дайте слюне «перекалибровать» pH, и чистка будет бережной.
Мини-таблица: уход дома vs в поездке
| Критерий | Дома | В путешествии |
|---|---|---|
| Чистка | 2 раза в день по 2–3 минуты | Добавьте короткие «мини-чистки» после ресторанов |
| Инструменты | Полный арсенал | Сжатый набор, главное — регулярность |
| Риски | Ниже | Выше (еда, режим, транспорт) |
| Доступ к врачу | Лёгкий | Ограниченный, планируйте заранее |
Экстренные ситуации: что делать «здесь и сейчас»
Люблю, когда чемодан — это не «груз тревоги», а «запас спокойствия». Поэтому я всегда рекомендую положить в ручную кладь мини-набор первой помощи.
Если вы в другой стране и волнуетесь, что не найдёте стоматолога — напишите мне. В моём кабинете мы часто сопровождаем путешествия онлайн: прошу фото, уточняю ощущения и даю понятные шаги. Чаще всего хватает воска, аккуратной чистки и пары дней щадящего режима. В итоге вы сохраняете отдых, а я — ваши реставрации.

Если появился микро-скол
- Прекратите нагружать этот зуб, не «щупайте» его языком.
- Аккуратно отполощите рот, очистите межзубный промежуток.
- Если кромка царапает щёку или язык — поставьте каплю ортодонтического воска.
- Напишите мне (или своему врачу), пришлите фото; часто достаточно рекомендаций до вашего возвращения.
Если «подотклеился» край
У виниров полное отклеивание — редкость, чаще это чувство «кромка стала цепляться». Силиконовая мини-каппа и воск помогут дождаться визита. Не пытайтесь приклеить сами — клей нарушит протокол фиксации. Наша задача — спокойно доехать до дома и уже там спокойно доработать.
И помните: правильный выбор материалов для виниров и коронок снижает риски ещё на этапе планирования.

Живые истории моих пациентов (из практики)
— Сергей, 35 лет
— Марина, 42 года
— Ольга, 58 лет
— Лина, 30 лет
Какие материалы я чаще выбираю для путешествий: виниры и коронки
В моей практике я отдельно проговариваю материалы коронок и материалы виниров, потому что требования к ним в дороге немного разные. Материалы для коронок я выбираю с прицелом на жевательную нагрузку и «прощение» ошибок (цирконий, керамокомпозит), а для тонких облицовок важнее оптика и полируемость (керамика E.max, фарфор). Такой раздельный подход помогает, чтобы и стейк на ужин, и селфи на набережной прошли без микродрамы.
В активных сценариях я чаще рекомендую многослойный диоксид циркония для коронок и части мостов — он простит и лёд, и орешки, и плотные стейки. Для зоны улыбки — керамика E.max (тот самый литий-дисиликат) даёт глубину и естественный «мокрый блеск», особенно если вы не «кавоман» каждый час. Если нужен компромисс по бюджету и ремонтопригодности — керамокомпозит.

Ещё раз: мы подбираем материалы для виниров и коронок под вашу жизнь — кто-то часто выступает на сцене (важна оптика), кто-то — проводит недели на треках (важна прочность и спокойствие «без микродрамы»).
Тонкости гнатологии: почему окклюзия важнее, чем кажется
Любая реставрация — часть системы: сустав, мышцы, прикус. Как гитара — строить нужно все струны сразу. Если кромка шлифанута неправильно или один зуб «берёт на себя» нагрузку, скол в отпуске почти предсказуем. Я всегда проверяю траектории движения, контактные пункты, делаю лёгкую коррекцию до поездки — и даю рекомендации, как не перегружать зубы, если «стресс» (перелёт, недосып, жевание на одной стороне). Это снижает риски больше, чем «жить без орехов».
Таблица «что класть в ручную кладь и почему»
| Предмет | Зачем | Как часто/когда |
|---|---|---|
| Мягкая щётка (или насадка) | Бережная чистка без риска микроцарапин | Каждое утро/вечер + короткая чистка после «пигментов» |
| Нить + 2 размера ёршиков | Удалить застрявшее, не травмируя края | Вечером; ёршик — после «волокнистой» еды |
| Ополаскиватель без спирта | Снять бактериальную нагрузку, освежить | После кофе/вина и перед сном |
| Ортодонтический воск | Укротить острый край/кромку | По ситуации |
| Силиконовая мини-каппа | Ночная защита при стрессе/скрипе | По назначению врача |
| Обезболивающий гель | Точечная помощь десне | По необходимости |
О деньгах — коротко и честно
Я всегда за прогнозируемость. На консультации мы показываем 3D-модель и проговариваем варианты: керамика E.max для зоны улыбки, диоксид циркония для коронок на жевательных зубах, керамокомпозит как компромисс. Итоговую смету разбиваем на этапы — так и по времени удобно, и по бюджету спокойно.
Меня часто спрашивают: «Сколько стоит поставить «правильные» виниры, чтобы не бояться поездок?» В моём кабинете мы работаем с проверенными системами и цифровым моделированием. По керамике E.max ориентир по рынку — десятки тысяч за зуб, конкретика зависит от клинической ситуации, объёма препарирования и сложности индивидуализации. Если вам удобнее двигаться поэтапно — подберём последовательность, чтобы и эстетика, и бюджет были комфортными.
(И да, я всегда на стороне прозрачности: на консультации показываю фото, 3D-модель будущей улыбки и объясняю, почему выбираю те или иные материалы для виниров и коронок — без сюрпризов на финише.)

Технологии, которые помогают держать улыбку «в форме»
У нас — цифровой дизайн улыбки, CAD/CAM-фрезеровка, 3D-визуализация. Перед отпуском вы видите на мониторе, как будет выглядеть ваша улыбка и где мы уберём риск. Это экономит время, деньги и нервы. Если нужно — подключаем гигиениста: мягко снимаем налёт, укрепляем эмаль, проходим труднодоступные зоны.
Честно: защищают не только материалы, а ваши маленькие ритуалы — 5 минут утром и вечером, и «виниры в путешествии» остаются идеальными. Пять минут утром и вечером — и вы свободны наслаждаться маршрутом.

Ответы на тревожные вопросы — коротко и по делу
«Боюсь боли: вдруг в отеле разболится?»
Я понимаю этот страх. В наборе держите гель для десны и обезболивающее, но главное — не паниковать. 9 из 10 эпизодов — обратимы и не требуют срочных вмешательств.
«Если винир подотклеился?»
Не пытайтесь клеить самостоятельно — нарушите протокол. Воск/каппа — временно, контакт со мной — обязательно. Доедете до дома — спокойно восстановим.
«Что с отбеливанием перед поездкой?»
За 2–3 недели до отпуска — да. Впритык — нет: эмаль может быть чувствительнее, а вы в полёте. Лучше планово и мягко.
Зачем беречь керамику: немного «кухни» от врача
Керамический край — как тонкий фарфор. Он не любит точечной нагрузки и любит чистоту у десны. Ровная жевательная «мозаика», который я настраиваю с помощью цифровых инструментов, делает распределение нагрузок правильным: ни один зуб не «работает один за всех». Это ваше спокойствие в командировке, на пляже, на горке — где угодно. И да, виниры в путешествии не должны превращаться в квест: вы отдыхаете, а мои советы работают за вас.
Мой «маршрутный план» перед поездкой (пошагово)
- За 2 недели — осмотр, корректировка, гигиена.
- За неделю — чек-лист, сбор набора, апдейт контактов.
- День вылета — вода в бутылке + жвачка без сахара.
- На месте — мини-чистки после «пигментов», аккуратность с твёрдым.
- Возвращение — контрольная встреча по желанию: иногда я вижу вас на кофе, мы обсуждаем, как всё прошло, и при необходимости шлифуем кромку (минут 10).
Возвращение домой: короткий «пост-трип» протокол
Запланируйте 15–20 минут на контроль. Мы посмотрим кромки, при необходимости полируем, освежаем гигиену. Это как ТО после хорошей поездки: машина благодарна, и улыбка — тоже.
Отдельно скажу про воду и климат. Сухой воздух самолёта сгущает слюну — налёт липнет охотнее. Держите под рукой маленькую бутылку воды и безсахарную жвачку на взлёте/посадке (если нет противопоказаний по суставу). Это простые вещи, но в «виниры в путешествии» они дают большую разницу — как лёгкая куртка в дождь.
Итог
Путешествие — это про лёгкость. И керамика это любит. Когда у вас есть план и набор, виниры в путешествии чувствуют себя уверенно. Если хотите, я помогу собрать всё под ваши привычки: от «кофе-на-вынос» до серф-лагеря. Напишите, и мы сделаем так, чтобы забота о зубах занимала минуты, а радость — весь ваш отпуск.
Главное — вы должны лететь не с тревогой, а с предвкушением. А про зубы… позвольте мне беспокоиться за них вместо вас.